안녕하세요. 울산 중구 동물병원 라온동물메디컬센터입니다.

나이 든 강아지가 갑자기 숨을 가쁘게 쉬거나, 조금만 움직여도 헉헉거리는 모습을 보이면 보호자님께서 많이 놀라실 거예요. “더워서 그런가?”, “운동을 해서 그런가?” 하고 대수롭지 않게 넘기기 쉽지만, 노령견에서 나타나는 호흡곤란은 심장질환의 신호일 수 있습니다. 오늘은 노령견의 호흡곤란 원인 중 하나인 심장질환에 대해, 어떤 증상으로 나타나는지와 보호자가 어떻게 대응해야 하는지 알려드리겠습니다.

노령견의 호흡곤란, 심장질환 의심 증상

강아지의 심장은 폐와 온몸으로 혈액을 보내는 펌프 역할을 합니다. 하지만 나이가 들면 심장 근육이 약해지거나 판막이 손상되면서 혈액을 제대로 내보내지 못하는 심부전이 생길 수 있어요. 심장이 약해지면 혈액과 체액이 폐에 고여 폐수종이 생기고 이로 인해 숨이 차고 기침이 잦아집니다. 노령견에서 심장질환이 의심되는 주요 상황은 다음과 같습니다.

이러한 증상은 단순한 노화로만 볼 수 없으며, 심장 기능 저하의 전형적인 신호일 수 있습니다.

노령견 심장질환이 진행되면 생기는 문제

심장질환을 제때 치료하지 않으면 호흡곤란이 점점 심해지고, 다음과 같은 합병증으로 이어질 수 있습니다.

심장질환은 초기에 발견해 관리하는 것이 무엇보다 중요합니다.

보호자가 확인할 수 있는 신호 

노령견의 심장 건강을 지키기 위해서는 호흡 상태 관찰이 필수입니다.

1. 호흡수 측정

2. 호흡 형태 관찰

3. 기침 여부

심장질환 진단 방법

울산 라온동물메디컬센터에서는 노령견의 심장 상태를 정확히 파악하기 위해 다음과 같은 검사를 진행합니다.

📌 흉부 X-ray

X-ray 촬영은 심장의 크기와 모양, 그리고 폐에 물이 차 있는지 여부를 확인하는 데 사용됩니다. 이를 통해 심장비대나 폐수종 같은 합병증 여부를 빠르게 파악할 수 있습니다.

📌 심장 초음파

초음파 검사는 심장의 구조와 기능을 직접 확인할 수 있는 가장 중요한 검사입니다. 판막이 제대로 닫히는지, 심실 벽의 두께는 정상적인지, 혈액이 원활하게 흐르는지를 정밀하게 평가할 수 있습니다.

📌 심전도 검사(ECG)

심전도는 심장의 전기적 활동을 기록해 부정맥 여부를 확인하는 검사입니다. 맥박이 불규칙하거나 갑작스러운 실신이 있는 경우 반드시 시행해야 하며, 약물 치료 방향 결정에도 큰 도움이 됩니다.

📌 혈액검사 (BNP 등)

BNP와 같은 심장 스트레스 지표를 측정하면,심장이 얼마나 부담을 받고 있는지 수치로 알 수 있습니다. 다른 장기 수치와 함께 확인하면 전신 상태까지 종합적으로 평가할 수 있습니다.

치료와 관리 방법

1. 약물 치료

심장 수축력을 보강하는 약, 몸 속 과도한 수분을 빼내는 이뇨제, 혈관을 확장해 혈류를 개선하는 약 등이 사용됩니다. 이런 약물들은 호흡 곤란을 완화하고, 강아지가 일상생활을 편안하게 유지할 수 있도록 돕습니다.

2. 식이 관리

심장질환 환자에게는 나트륨이 적게 들어간 전용 식단이 권장됩니다. 나트륨 섭취가 줄어들면 체내에 수분이 덜 쌓이게 되어 심장의 부담을 줄이고 폐수종 같은 합병증 위험을 낮출 수 있습니다.

3. 활동 조절

무리한 산책이나 격한 운동은 심장에 큰 부담을 주기 때문에 피하는 것이 좋습니다. 대신 가볍고 짧은 산책을 규칙적으로 하며, 스트레스 없는 안정적인 생활 환경을 유지하는 것이 중요합니다.

4. 정기 검진

심장질환은 진행성 질환으로 주기적인 추적 검사가 꼭 필요합니다. 최소 6개월마다 X-ray와 초음파 검사를 반복해 현재 상태를 확인하고, 필요 시 약물 용량을 조정해야 합니다.

 강아지 심장병 치료 후기

울산 라온동물메디컬센터에 호흡곤란으로 내원한 노령견 환자가 있었습니다.  보호자는 갑작스럽게 숨이 가빠지고 기침이 잦아져 큰 걱정 속에 병원을 찾으셨습니다.

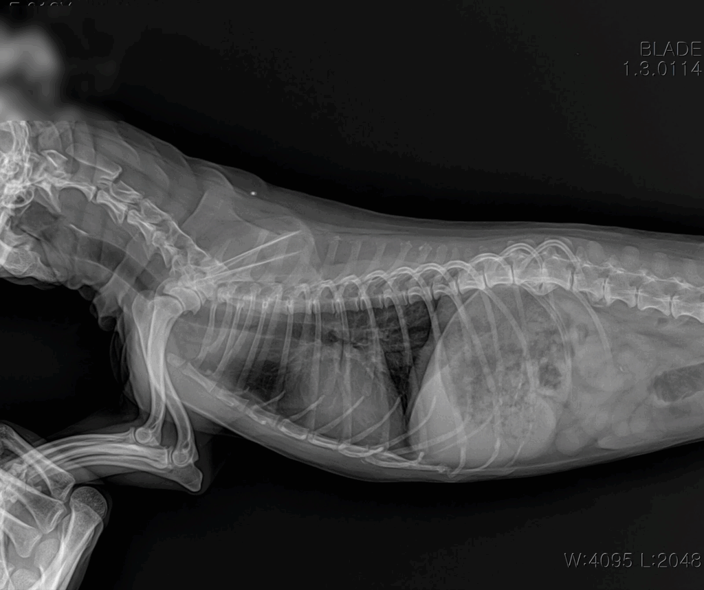
내원 즉시, 적극적인 산소처치와 안정화가 먼저 이루어졌습니다. 호흡곤란 환자는 응급 상황으로 진행될 수 있기 때문에, 빠른 산소 공급과 안정을 통해 위험을 줄이는 것이 최우선입니다. 이후 상태가 안정되자 심장 초음파와 흉부 방사선을 통한 정밀 진단이 진행되었습니다. 

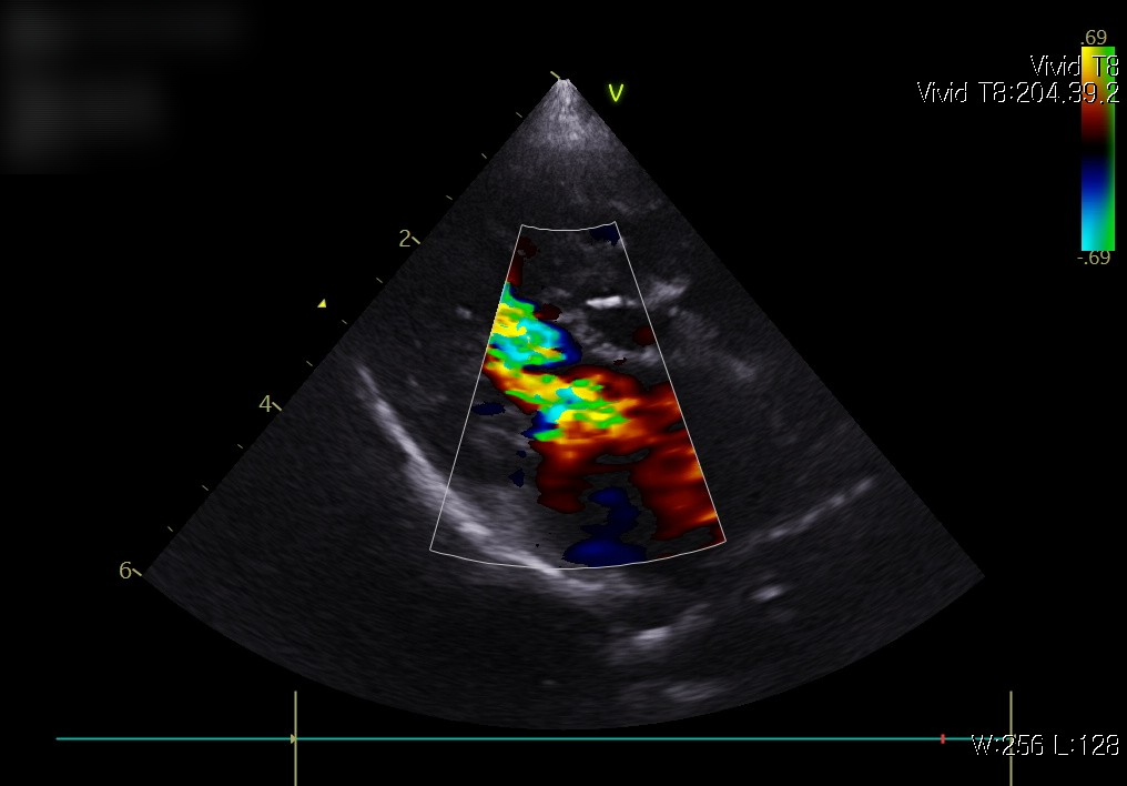
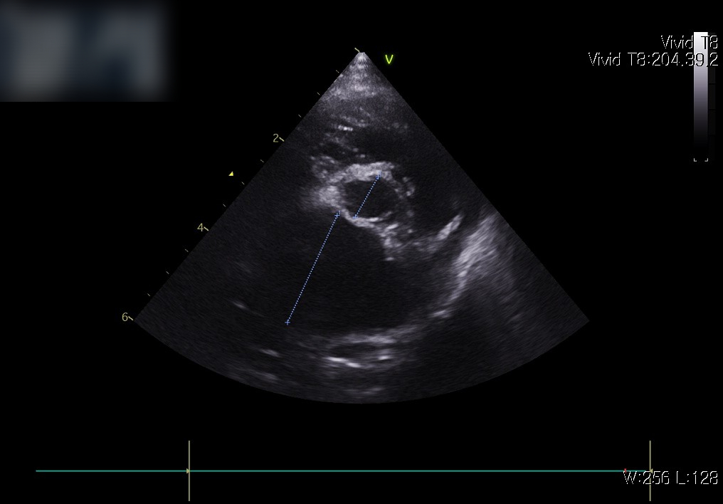
강아지 심장병 진단

심장 초음파 사진: 판막 기능 이상과 혈류의 역류 소견 확인

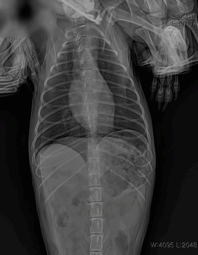
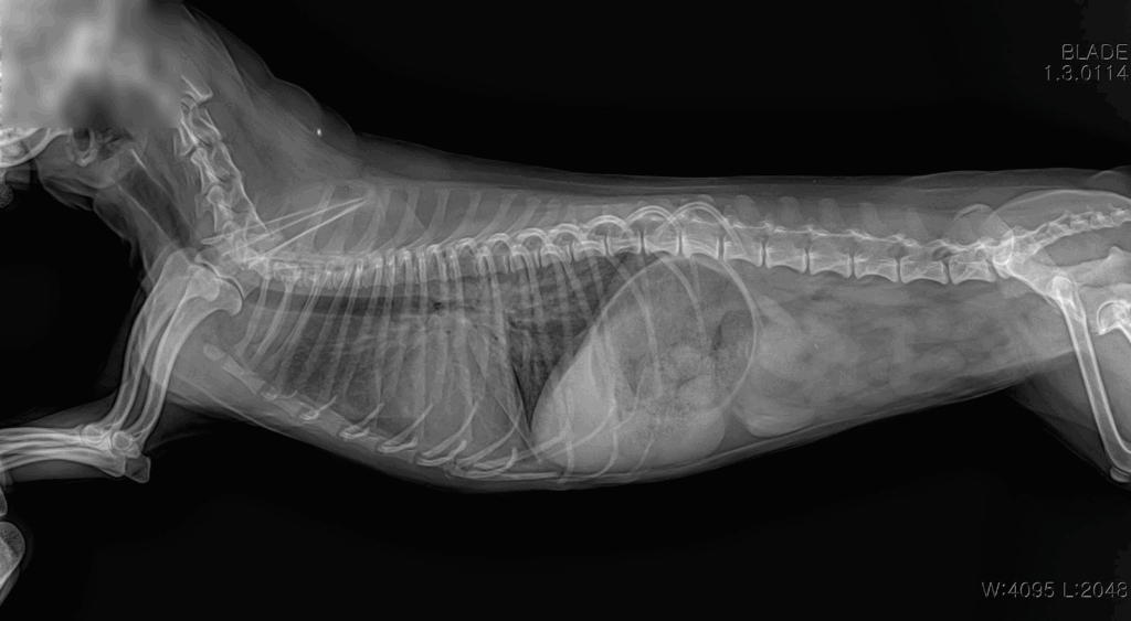
내원 당시 흉부 방사선 사진: 심장 비대 및 폐수종 확인

검사 결과 심부전 소견이 확인되었고, 이에 따라 약물 관리를 통한 환축 안정화를 목표로 치료를 시작했습니다.

치료와 관리 과정

치료 과정에서는 심장 수축력을 강화하는 약물, 이뇨제, 혈관 확장제가 사용되었습니다. 이를 통해 호흡 곤란을 완화하고, 폐에 쌓인 체액을 줄여 심장의 부담을 덜어주었습니다.

치료 후 며칠이 지나자 보호자가 가장 크게 호소했던 호흡 곤란과 기침 증상이 뚜렷하게 개선되었습니다.
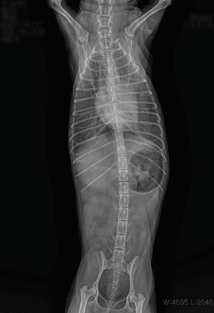
흉부 방사선 촬영에서도 폐수종 소견이 호전되어, 환축이 안정된 상태로 생활할 수 있게 되었습니다.

또한, 보호자에게는 저나트륨 식단 관리와 함께 무리한 운동 자제를 안내드렸습니다.
꾸준한 약물 복용과 정기적인 초음파·X-ray 검진을 통해 심장의 변화를 추적하면서 치료 방향을 조정하고 있습니다.

노령견이 숨을 가쁘게 쉬는 것은 단순한 노화가 아닌 심장질환의 경고음일 수 있습니다. 평소 세심한 관찰과 조기 진단이 강아지의 수명을 지키는 첫걸음입니다.

📍 울산 노령견 전문 동물병원, 라온동물메디컬센터

🏥 울산 라온동물메디컬센터는
풍부한 심장질환 진료 경험과 정확한 진단 장비를 바탕으로,
노령견의 심장 건강을 지키기 위해 최선을 다하고 있습니다.

📞 대표번호: 052-286-5050
📍 위치: 울산 중구 번영로 524 (주차 가능)
🕐 진료시간: 밤 11시까지 진료 가능
👉 심장질환 검진 및 상담은 전화로 문의해주세요.

글쓴이