안녕하세요. 울산 중구 동물병원 라온동물메디컬센터입니다.

고양이가 소변을 보지 못해 힘들어하거나, 화장실에 자주 들락거리고 고통스러운 울음소리를 낸다면 보호자님의 마음은 찢어질 듯 아프실 거예요. 이러한 증상은 고양이 방광염의 대표적인 신호입니다. 

다행히 적절한 치료를 통해 증상이 호전될 수 있지만, 고양이 방광염은 재발이 매우 흔한 질병이기에 치료 후의 꾸준한 관리가 무엇보다 중요합니다. 이번 글에서는 고양이 방광염 치료 후 보호자가 해줘야 할 5가지 관리법에 대해 자세히 알려드리겠습니다.

고양이 방광염, 왜 재발이 흔할까요?

고양이 방광염은 여러 원인으로 인해 방광에 염증이 생기는 질환입니다. 세균 감염이 원인인 경우도 있지만, 가장 흔한 원인은 바로 특발성 방광염(FIC, Feline Idiopathic Cystitis)입니다. 특발성 방광염은 뚜렷한 원인이 없이 발생하는 질환으로,
스트레스가 주요 원인으로 알려져 있습니다. 따라서 스트레스 요인이 해결되지 않으면 방광염은 언제든 재발할 수 있습니다.

고양이 방광염 치료 후기 

이번에는 실제로 저희 병원에 내원한 고양이 환자의 사례를 소개해드리겠습니다.

2살 된 중성화 수컷 고양이 환자는 소변을 자주 시도하지만 잘 나오지 않고, 화장실에서 힘들어하며 울음소리를 내는 증상으로 내원했습니다. 보호자님은 평소보다 활력이 떨어지고 식사량도 줄었다고 말씀하셨습니다. 환자는 신체검사와 혈액검사, 복부 초음파, 복부 방사선 검사를 진행했습니다.

혈액검사 결과입니다.

혈액검사 결과에서 신장 기능 수치인 BUN(99.8 mg/dL), CREA(6.3 mg/dL)가 정상 범위보다 크게 상승한 상태로, 방광염으로 인한 신장 손상이 진행 중임을 확인할 수 있었습니다.

다음은 복부 초음파 검사 결과입니다. 

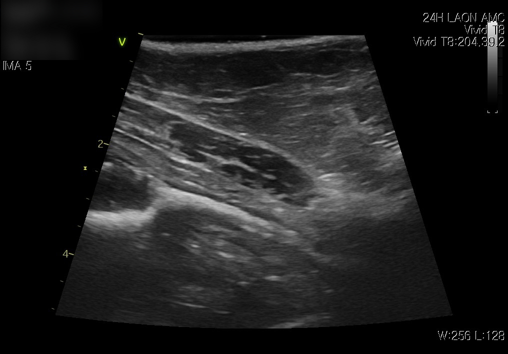
내원 시 방광 요도 사진 / 출처: 라온동물메디컬센터 

내원 시 방광 초음파 사진 / 출처: 라온동물메디컬센터 

방광 초음파에서는 방광 내 염증성 변화와 소변 잔류가 관찰되었습니다.

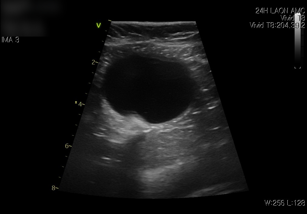
내원 시 방사선 사진 / 출처: 라온동물메디컬센터 

복부 X-ray 검사에서도 방광이 소변으로 가득차있었고 팽창된 것을 확인할 수 있었습니다.

고양이 방광염 치료 

환자는 요도 카테터를 통한 소변 배액을 시행하였고 진통제 및 항생제 치료를 병행했습니다.  이후 방광 세척을 통해 염증과 잔여 소변을 제거하며 상태를 안정화시켰습니다.

고양이 방광염 치료 경과

치료 후 혈액검사 사진/ 출처: 라온동물메디컬센터

치료 3일 후, 재검한 혈액검사에서 BUN(30 mg/dL), CREA(1.2 mg/dL) 수치가 정상 범위로 회복되었습니다.

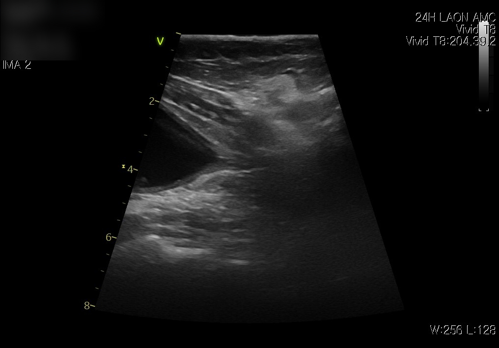
치료 후 방광 요도(좌) / 치료 후 방광 초음파 사진 / 출처: 라온동물메디컬센터

추적 초음파 검사에서도 방광 내 염증으로 인한 찌꺼기도 사라졌으며,  소변이 정상적으로 배출되는 모습이 확인되었습니다.  보호자님께는 방광염 재발을 예방하기 위해 방광염 처방사료의 식이 교체와 함께, 방광 보조제 급여를 권장드렸습니다.
또한 정기적인 검진, 충분한 수분 섭취, 화장실 청결 관리의 중요성을 안내드리며, 꾸준한 생활 관리가 무엇보다 필요하다는 점을 강조드렸습니다.

고양이 방광염 재발을 막는 핵심 관리법 5가지

고양이 방광염은 완치보다 꾸준한 관리가 중요한 질병입니다.
다음 5가지 관리법을 통해 재발을 막고 고양이의 삶의 질을 높여주세요.

1. 충분한 음수량 확보

고양이 방광염 관리의 핵심은 수분 섭취입니다. 물을 많이 마시면 소변량이 늘어나고, 소변이 희석되어 방광을 깨끗하게 씻어내는 효과를 얻을 수 있습니다.

📌 물그릇 위치 다양화

고양이가 자주 지나다니는 곳곳에 물그릇을 여러 개 두어 자연스럽게 물을 마시도록 유도하세요. 

📌흐르는 물 제공

일부 고양이는 움직이는 물에 흥미를 느낍니다. 정수기나 분수형 급수기를 설치하는 것도 좋은 방법입니다. 

📌습식 사료 급여

건사료보다 수분 함량이 훨씬 높은 습식 사료를 급여하면 자연스럽게 음수량을 늘릴 수 있습니다.

2. 스트레스 요인 제거 및 환경 풍부화

고양이 방광염의 주범인 스트레스를 줄여주는 것이 가장 중요합니다.

📌 안정적인 환경 조성

낯선 사람이나 동물의 접근을 최소화하고, 조용하고 편안한 자신만의 공간을 만들어 주세요.

📌 스크래쳐와 숨숨집

스트레스 해소를 위해 스크래쳐, 캣타워, 숨숨집 등을 마련하여 고양이가 안전하게 생활할 수 있도록 도와주세요.

📌 꾸준한 놀이 시간

사냥 놀이 등 충분한 놀이 시간은 스트레스 해소에 큰 도움이 됩니다.

3. 화장실 위생 관리 철저

고양이는 화장실이 더러우면 소변을 참는 습성이 있습니다. 소변을 참으면 방광에 세균이 증식하기 쉬워 방광염을 유발할 수 있습니다.

📌 매일 배변 처리

고양이가 화장실을 사용할 때마다 배설물을 바로 치워주세요.

📌 주기적인 전체 갈이

최소 주 1회 이상은 전체 모래를 갈고 화장실 통을 깨끗하게 닦아주세요.

📌 화장실 개수

여러 마리를 키울 경우, 고양이 수 + 1개의 화장실을 준비하는 것이 좋습니다.

4. 식이 관리: 방광 건강 처방식 급여

일반 사료 대신 방광 건강 처방식 사료를 급여하는 것도 좋은 관리법입니다. 이러한 사료는 요 pH를 조절하고, 미네랄 함량을 낮춰 요로계 결석의 형성을 억제합니다. 또한 오메가-3 등 항염증 성분이 포함되어 있어 방광의 염증 관리에 도움을 줍니다.

5. 재발 징후 조기 발견 및 정기 검진

치료 후에도 보호자의 세심한 관찰이 중요합니다. 방광염 재발 징후를 조기에 발견하고, 정기적으로 동물병원을 방문하여 건강 상태를 확인해야 합니다.

📌 재발 징후

평소보다 화장실에 자주 가거나, 소변을 볼 때 힘들어하고, 소변량이 적거나 아예 보지 못하는 경우, 소변에 피가 섞여 나오는 경우 등은 즉시 병원에 내원해야 합니다.

📌 정기 검진

증상이 없더라도 요 검사를 통해 방광염 재발 징후를 미리 파악하는 것이 좋습니다.

고양이 방광염이 걱정된다면, 울산 동물병원 라온동물메디컬센터

고양이 방광염은 완치가 어려운 난치성 질환일 수 있지만, 보호자님의 꾸준한 관심과 올바른 관리를 통해 충분히 증상을 조절하고 재발을 막을 수 있습니다. 오늘 알려드린 5가지 관리법을 꼼꼼하게 실천하시면서, 우리 고양이에게 편안하고 행복한 삶을 선물해주시길 바랍니다.

📍 울산 노령묘/노령견 전문 동물병원, 라온동물메디컬센터

🏥울산 동물병원 라온동물메디컬센터는
반려동물들의 건강을 책임지기 위해 최선을 다하고 있습니다.
슬개골탈구 등 정형외과 질환에 대한 깊이 있는 이해와
풍부한 경험을 바탕으로 전문적인 진료를 약속드립니다.

📍 위치: 울산 중구 번영로 524 (주차 가능)
  📞 대표번호: 052-286-5050
  🕐 진료시간: 밤 11시까지 진료 가능
  👉 수술 상담 및 예약은 전화로 문의해주세요.

글쓴이