안녕하세요. 울산 중구 동물병원 라온동물메디컬센터입니다.
강아지가 자꾸 고개를 흔들거나 귀를 긁는 행동을 반복한다면 보호자님 입장에서는 “혹시 귀가 아픈 걸까? 병원에 데려가야 할까?” 하는 걱정이 들 수밖에 없습니다. 많은 분들이 먼저 귀 진드기를 떠올리시지만, 실제로는 세균·곰팡이 감염이나 알레르기, 심지어 중이염 같은 다른 원인 때문에도 이런 행동이 나타날 수 있습니다. 오늘은 반려견의 귀 불편감을 유발하는 주요 원인과 함께, 저희 병원에서 치료한 실제 사례를 소개해드리겠습니다.

강아지 귀 흔들기, 왜 생기는 걸까요?
고개를 흔드는 행동은 단순한 습관이 아니라, 귀에 불편함이 있을 때 나타나는 대표적인 신호입니다.
주요 원인은 다음과 같습니다.
✔️ 귀 진드기 감염 : 검은색 커피 찌꺼기 같은 귀지가 많고, 심한 가려움증을 동반합니다.
✔️ 외이도염(세균·곰팡이 감염) : 귀 안이 붉게 부어오르고, 냄새가 나거나 진물이 생깁니다.
✔️ 알레르기성 피부질환 : 아토피나 음식 알레르기 때문에 귀에 염증이 반복될 수 있습니다.
✔️ 이물질 유입 : 산책 중 풀씨나 먼지가 들어가 귀를 자극할 수 있습니다.
✔️ 중이염 : 외이도염이 악화되어 중이까지 염증이 번지면, 심한 통증과 균형 장애가 동반되기도 합니다.
보호자가 체크해야 할 귀 이상 신호
우리 아이의 귀 상태를 확인할 때는 다음과 같은 증상을 주의 깊게 살펴보세요.
- 귀를 과도하게 긁거나 머리를 벽, 바닥에 문지른다.
- 고개를 한쪽으로 기울이고 자주 흔든다.
- 귀에서 냄새가 나거나 갈색·검은색 귀지가 많다.
- 귀 안이 붉게 부어오르거나 진물이 난다.
- 만지면 통증 반응을 보인다.

이런 증상이 반복된다면 단순한 귀지 문제를 넘어 염증성 질환일 가능성이 크므로 동물병원 진료가 필요합니다.
진단 과정은 어떻게 진행될까요?
강아지의 귀 질환은 원인에 따라 치료법이 달라지므로 정확한 진단이 우선입니다.

📌 이경 검사 : 귀 안을 직접 확인하여 염증, 귀지, 이물질 여부를 확인합니다.
📌 피부 알레르기 평가 : 반복되는 귀 염증은 알레르기와 연관성이 높아, 피부질환과 함께 확인합니다.
원인에 따른 치료와 관리방법
귀 진드기 치료
- 치료 방법:
- 귀 안을 깨끗하게 세정하여 진드기와 분비물을 제거합니다.
- 국소용 구충제(점이제)를 귀에 사용하거나, 전신 구충제를 투여합니다.
- 함께 생활하는 다른 반려동물에게도 전염될 수 있어 동시에 예방·치료가 필요합니다.
- 치료 후에도 재감염을 막기 위해 주기적인 구충제를 사용하는 것이 좋습니다.

외이도염 치료
- 치료 방법:
- 귀 분비물과 염증을 제거하기 위해 귀 세정을 실시합니다.
- 세균 감염 시에는 항생제, 곰팡이 감염 시에는 항진균제를 사용합니다.
- 통증과 가려움이 심할 경우 소염제를 병행하여 증상을 완화합니다
- 심한 경우에는 장기간 치료와 함께 정기적인 내원이 필요할 수 있습니다.
알레르기성 귀 질환 치료
- 치료 방법:
- 기본적으로 염증을 완화하기 위해 항염증제나 면역조절제를 사용합니다.
- 음식 알레르기가 의심된다면 제한식 급여를 통해
원인 식재료를 찾아내고, 알레르기 반응을 줄입니다. - 환경 알레르기일 경우 집먼지 진드기, 곰팡이, 꽃가루 등을
최소화하는 환경 관리가 필요합니다. - 피부·귀 질환을 동시에 관리해야 하므로 장기적인 치료 계획이 요구됩니다.

강아지 귀 진드기 치료 후기
이번에 내원한 환자는 샵에서 분양받은 어린 강아지로, 보호자님께서 귀를 계속 긁고 냄새가 나며 귀지가 많이 생기는 증상으로 병원에 내원하셨습니다.
강아지 귀진드기 진단

환자 검이경 검사 / 출처: 라온동물메디컬센터
검이경 검사에서 귀 진드기 감염이 확인되었습니다.



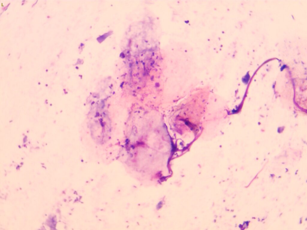
치료 전 현미경 검사 / 출처: 라온동물메디컬센터
귀 분비물을 현미경으로 확인한 결과 세균성 감염도 함께 발견되었습니다.
즉, 귀 진드기와 세균성 염증이 동시에 존재한 상태였습니다.
강아지 귀진드기 치료
환자는 내원 후 귀 내부를 깨끗하게 세정하여 쌓여 있던 분비물과 진드기를 제거했습니다. 동시에 세균성 염증을 치료하기 위해 항생제 연고를 귀 안에 점이하였고, 전신 관리 차원에서 심장사상충 예방약도 함께 투여했습니다. 치료 이후에는 집에서 보호자님께서 관리할 수 있도록 귀 청결 유지 방법과 재감염 예방을 위한 생활 관리 요령을 상세히 안내해드렸습니다.
강아지 귀진드기 치료 경과

치료 일주일 후 검이경 검사 / 출처: 라온동물메디컬센터



치료 일주일 후 현미경 검사 / 출처: 라온동물메디컬센터
1주일 후 재검에서 귀 진드기가 완전히 소멸된 것을 확인했습니다. 귀에서 나던 냄새가 사라졌고, 귀지와 발적도 현저히 줄어든 상태였습니다. 이번 사례처럼 귀 진드기 감염은 세균성 염증과 함께 나타나는 경우가 많기 때문에, 조기 진단과 정확한 치료가 매우 중요합니다.
강아지 피부병이 걱정된다면, 울산 동물병원 라온동물메디컬센터
강아지가 고개를 자꾸 흔들 때, 단순히 귀지가 많아서 그렇겠지 하고 넘기면 증상이 악화될 수 있습니다. 귀 진드기뿐 아니라 외이도염, 알레르기, 심지어 중이염까지 다양한 원인이 있을 수 있으므로 반드시 동물병원에서 정확한 진단과 치료를 받는 것이 중요합니다.
라온동물메디컬센터는 귀 질환과 피부질환을 함께 살펴볼 수 있는 전문적인 진료 체계를 갖추고 있으며, 재발 방지까지 고려한 맞춤 관리법을 안내드리고 있습니다.
📍 울산 노령견 전문 동물병원, 라온동물메디컬센터
🏥울산 동물병원 라온동물메디컬센터는
반려동물들의 건강을 책임지기 위해 최선을 다하고 있습니다.
슬개골탈구 등 정형외과 질환에 대한 깊이 있는 이해와
풍부한 경험을 바탕으로 전문적인 진료를 약속드립니다.
📞 대표번호: 052-286-5050
📍 위치: 울산 중구 번영로 524 (주차 가능)
🕐 진료시간: 밤 11시까지 진료 가능
👉 수술 상담 및 예약은 전화로 문의해주세요.