안녕하세요. 울산 중구 동물병원 라온동물메디컬센터입니다.

강아지나 고양이가 갑자기 구토를 하거나 식욕이 없어졌다면, 혹시 가지고 놀던 장난감이나 물건을 삼킨 것은 아닐지 걱정되실 거예요. 반려동물이 이물질을 삼키는 사고는 매우 흔하지만, 방치하면 장 폐색이나 천공으로 이어져 생명을 위협할 수 있습니다. 특히 이물질을 제거하는 방법은 상황에 따라 달라지므로, 이번 글에서는 언제 내시경으로 이물질을 제거할 수 있는지에 대해 자세히 알아보겠습니다. 

이물질 삼켰을 때 나타나는 대표적인 증상

반려동물이 이물질을 삼킨 후 보이는 증상은 이물질의 크기, 모양, 위치에 따라 다양합니다. 보호자님이 아래와 같은 증상을 발견한다면 즉시 동물병원에 방문하여 정확한 진단을 받는 것이 중요합니다.

✔️ 구토

가장 흔하게 보이는 증상입니다. 삼킨 이물이 식도나 위를 자극하거나, 장을 부분적으로 혹은 완전히 막을 때 구토가 발생할 수 있습니다. 단순한 토사로 보일 수 있지만, 반복되거나 심해진다면 위험 신호일 수 있습니다.

✔️ 식욕 부진 및 기력 저하

이물질로 인해 통증을 느끼거나 소화가 어려워지면서 밥을 먹지 않으려 합니다.

✔️ 복통

배를 만지는 것을 싫어하거나, 웅크리고 있는 모습을 보입니다.

✔️ 변비 또는 설사

장이 막히면 변을 보지 못하고, 부분적으로 막혔을 때는 설사를 할 수도 있습니다.

✔️ 급성 증상

날카로운 이물질을 삼켰을 경우, 갑자기 숨을 헐떡이거나 침을 흘리는 등의 증상을 보일 수 있습니다.

내시경 제거, 수술 없이 이물질을 제거하는 최선의 방법

내시경 이물 제거술은 수술적인 절개 없이 이물질을 제거하는 비침습적 방법입니다. 입을 통해 내시경을 삽입하여 이물질을 직접 눈으로 확인하고, 내시경 끝에 달린 집게나 올가미를 이용해 안전하게 제거합니다.

📌 내시경으로 제거할 수 있는 이물질의 조건

내시경은 모든 이물질을 제거할 수 있는 것은 아니며, 성공적인 제거를 위해서는 몇 가지 조건이 충족되어야 합니다.

📍위치

이물질이 식도 또는 위에 있는 경우에만 내시경 제거가 가능합니다.
소장을 지나 대장으로 이동한 이물질은 내시경으로 접근하기 어렵습니다.

📍시간

이물질을 삼킨 지 2~4시간 이내, 최소 12시간 이내에 병원에 내원하는 것이 가장 좋습니다. 시간이 지날수록 이물질이 장으로 이동할 가능성이 높기 때문입니다.

📍종류 및 크기

내시경 제거 vs 수술, 어떤 것을 선택해야 할까?

내시경은 수술보다 안전하고 회복이 빠르다는 큰 장점이 있지만, 모든 상황에 적용할 수는 없습니다.

📍내시경이 우선인 경우

✅ 이물질이 식도 또는 위에 위치하고, 삼킨 지 얼마 되지 않았을 때
✅ 날카롭지 않고 크기가 적절하여 내시경으로 제거 가능한 경우

📍수술이 필요한 경우

✅ 이물질이 장으로 이동하여 장 폐색이 발생했을 때
✅ 이물질의 크기가 너무 커서 내시경으로 빼내기 어려울 때
날카로운 이물질이 식도나 위벽을 관통했을 가능성이 높을 때
✅ 이물질 주변에 염증이나 괴사가 심하게 진행된 경우

이물질 사고 예방과 대처: 보호자의 역할

이물질 사고는 예방이 가장 중요합니다.

📍 안전한 환경 조성

반려동물이 닿을 수 있는 곳에 작은 장난감, 끈, 비닐 등을 두지 않아야 합니다. 특히 강아지는 씹는 습성이 강하므로, 내구성이 뛰어난 장난감을 제공하는 것이 좋습니다.

📍 조기 발견

반려동물의 행동을 주의 깊게 관찰하고, 평소와 다른 증상(구토, 식욕 부진)이 보인다면 즉시 병원에 방문해야 합니다.

강아지 이물제거 치료 후기

오늘은 갑작스러운 구토와 식욕 부진으로 내원했던 환자의 사례를 소개해드리려 합니다.

환자는 1살 5개월령 코리안숏헤어 수컷 고양이로, 내원 2일 전부터 구토 증상이 시작되어 식욕이 줄었고, 전날부터는 전혀 먹지 못하며 지속적인 구토가 이어졌습니다. 보호자분께서 급격한 컨디션 저하를 확인하고 병원에 내원하셨습니다. 환자는 복부 초음파 검사와 혈액검사를 진행하였습니다.

강아지 이물제거 진단

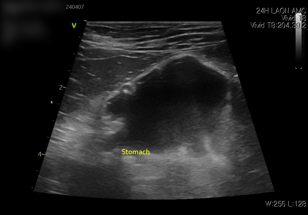
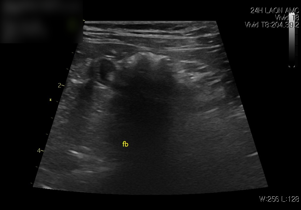
복부초음파 검사 결과

위내액체저류 확인(좌) / 이물확인(우) / 출처: 라온동물메디컬센터

초음파 검사에서 장 내에 이물 의심 소견이 확인되었고, 이물로 인해 위 내 음식물이 내려가지 못하고 저류된 상태가 관찰되었습니다.

수술 전 혈액검사 / 출처: 라온동물메디컬센터

혈액검사에서는 전해질 불균형과 염증 수치 상승이 확인되었으며, 이때 측정된 SAA는 염증 정도를 확인할 수 있는 지표입니다.

보통 1년령 전후의 어린 강아지와 고양이에서 갑작스러운 구토가 발생한다면,
단순한 소화기 질환보다는 이물 섭취 가능성을 반드시 고려해야 합니다.

수술 진행

환자는 당일 이물 제거 수술을 진행하기로 결정하였으며, 수술 전 전신 상태 평가에서 마취가 가능한 상태임을 확인했습니다.

위 내 이물제거 수술 사진 / 출처: 라온동물메디컬센터

이물 제거 / 출처: 라온동물메디컬센터

스펀지 형태의 장난감이 소장을 막고 있는 것이 확인되었습니다.
다행히도 장 괴사가 진행되기 전이어서 장절제술까지는 필요하지 않았고, 이물 제거만으로 수술을 마칠 수 있었습니다.

이물 제거 수술 후 회복

환자는 수술 후 2일간 입원하여 전해질 교정, 수액 치료, 항생제 및 염증 관리 치료를 받았습니다.

수술 후 혈액검사 / 출처: 라온동물메디컬센터

수술과 입원 치료를 통해 염증 수치가 73.5 → 8.6으로 크게 감소하였으며, 전해질 불균형도 해소되었습니다. 
입원 기간 동안 식욕이 점차 회복되었으며, 전반적인 컨디션이 안정화된 것을 확인한 뒤 퇴원할 수 있었습니다.

보호자님께 전하는 말씀

이번 사례는 단순한 장난감 삼킴 사고가 방치될 경우 심각한 장폐색으로 이어질 수 있다는 사실을 보여줍니다. 반려동물이 갑자기 구토와 식욕 부진을 보일 때는 “잠시 지켜보자”가 아니라, 조기에 정확한 진단을 받는 것이 무엇보다 중요합니다.

라온동물메디컬센터는 소화기 내시경 및 외과적 수술 시스템을 모두 갖추고 있어,
환자의 상태에 가장 적합한 방법으로 빠르게 치료할 수 있습니다.

강아지, 고양이 건강이 걱정된다면,
울산 동물병원 라온동물메디컬센터

강아지나 고양이가 이물질을 삼킨 것으로 의심된다면, 망설이지 말고 즉시 동물병원에 방문하여 정확한 진단을 받아야 합니다. 내시경으로 제거 가능한 골든타임을 놓치면 수술로 이어져 아이에게 더 큰 고통을 줄 수 있습니다. 우리 아이의 건강과 안전을 위해, 이물질 사고에 대한 보호자님의 빠른 판단과 대처가 무엇보다 중요합니다.

📍 울산 노령묘/노령견 전문 동물병원, 라온동물메디컬센터

🏥울산 동물병원 라온동물메디컬센터는
반려동물들의 건강을 책임지기 위해 최선을 다하고 있습니다.
슬개골탈구 등 정형외과 질환에 대한 깊이 있는 이해와
풍부한 경험을 바탕으로 전문적인 진료를 약속드립니다.

  📞 대표번호: 052-286-5050
  📍 위치: 울산 중구 번영로 524 (주차 가능)
  🕐 진료시간: 밤 11시까지 진료 가능
  👉 수술 상담 및 예약은 전화로 문의해주세요.

글쓴이