안녕하세요. 울산 동물병원 라온동물메디컬센터입니다.

중성화 수술을 하지 않은 암컷 강아지를 키우는 보호자님이라면 한 번쯤 들어보셨을 질환이 바로 #강아지자궁축농증 입니다. 이 질환은 발정기가 지난 후 자궁 내부에 세균이 침투하여 고름이 차오르는 치명적인 질환입니다. 노령견에게는 생명을 위협하는 가장 무서운 응급 질환 중 하나로 꼽힙니다. 자궁축농증은 발견 즉시 수술을 권장할 만큼 진행 속도가 빠르며 조금만 지체해도 전신 상태가 급격히 악화됩니다.

오늘은 자궁축농증의 위험성과 왜 ‘골든타임’ 내에 수술을 받아야 하는지 그 의학적 이유를 상세히 설명해 드리겠습니다.

자궁축농증, 왜 생기며 어떤 종류가 있나요?

강아지는 발정기(생리)가 끝나면 임신을 준비하기 위해 자궁 내벽이 두꺼워지고 면역력이 일시적으로 낮아집니다. 이때 대장균 등의 세균이 생식기를 통해 자궁으로 침투하여 염증을 일으키고 고름이 쌓이게 됩니다.

📌 개방형 vs 폐쇄형, 더 위험한 것은?

✅ 개방형 자궁축농증

자궁 경관이 열려 있어 생식기를 통해 피 섞인 고름이나 농이 배출됩니다. 보호자가 증상을 빨리 발견할 확률이 높지만, 감염 상태인 것은 동일합니다.

✅ 폐쇄형 자궁축농증

자궁 경관이 닫혀 있어 고름이 밖으로 나오지 못하고 자궁 안에 계속 쌓입니다. 겉으로 드러나는 분비물이 없어 발견이 늦어지며 자궁이 팽창하다 못해 파열될 위험이 있어 개방형보다 훨씬 위험합니다.

수술 시기를 놓치면 안 되는 의학적 이유 3가지

자궁축농증은 단순히 자궁의 염증으로 끝나지 않습니다.
시간이 지체될수록 독소가 온몸으로 퍼지기 때문입니다.

1. 패혈증과 다장기 부전의 위험

자궁 속의 고름(농)에는 엄청난 양의 세균과 독소가 포함되어 있습니다. 이 독소가 혈류를 타고 전신으로 퍼지면 패혈증이 발생합니다. 패혈증은 신장, 간, 심장 등 주요 장기를 순식간에 망가뜨리며(다장기 부전) 수술을 하더라도 예후를 매우 불투명하게 만듭니다.

2. 자궁 파열로 인한 복막염

자궁에 고름이 계속 차오르면 자궁벽이 얇아지고 결국 견디지 못해 터지게 됩니다. 자궁이 파열되어 고름이 복강 내로 쏟아지면 급성 복막염이 발생하며 이는 사망률이 극도로 높은 최응급 상황입니다.

3. 신부전 및 빈혈 동반

자궁 내 세균 독소는 특히 신장에 치명적입니다. 많은 자궁축농증 환자들이 내원 시 이미 급성 신부전을 동반하고 있는 경우가 많습니다. 또한 지속적인 염증 반응으로 인해 심한 빈혈이 나타나기도 하여 수술 시 수혈이 필요한 상황에 이르기도 합니다.

강아지 자궁축농증 수술 후기

환자는 14살 6개월령 스피츠로 암컷 ㅋㅈ는 중성화 수술을 하지 않은 상태였습니다. 노령견임에도 불구하고 평소 식욕이 좋은 편이었으나, 최근 며칠 사이 기력 저하와 식욕 부진이 나타났고 평소 잘 먹던 간식도 거부하는 모습을 보였습니다. 보호자님께서 외음부에서 삼출물(냉)이 확인된다며 내원하셨습니다.

자궁축농증 진단

중성화하지 않은 노령 암컷에서

✔ 기력 저하

✔ 식욕 감소

✔ 외음부 분비물이 동반될 경우, 자궁축농증을 가장 우선적으로 의심해야 합니다.

​이에 ㅋㅈ는 정확한 원인 확인을 위해 다음과 같은 정밀 검사를 진행하였습니다.

혈액 검사

수술전 혈액검사 / 출처: 라온동물메디컬센터

혈액검사에서는 정상 범위(0~9)를 크게 웃도는 염증 수치 129가 측정되어, 자궁축농증으로 인한 심한 전신 염증 상태가 확인되었습니다.

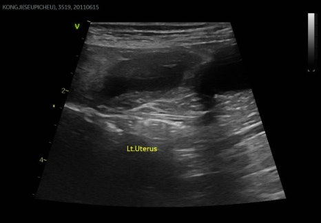
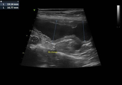
초음파 검사

수술전 복부 초음파검사 / 출처: 라온동물메디컬센터

초음파 검사에서 자궁 내부에 염증성 내용물이 차 있는 소견이 확인되었습니다.

방사선 검사

수술전 방사선검사 / 출처: 라온동물메디컬센터

방사선 검사에서는 비정상적으로 확장된 자궁 음영이 관찰되었습니다.

​위의 검사 결과를 종합하여 자궁축농증으로 최종 진단하였습니다.

자궁축농증, 왜 빠른 수술이 필요할까요

자궁축농증은 단순한 자궁 질환이 아니라 염증 물질과 세균이 혈류로 퍼질 경우 패혈증으로 진행될 수 있는 응급 질환입니다.

​특히 노령견에서는

– 급격한 전신 상태 악화

– 신장 기능 저하

-쇼크 로 이어질 위험이 높아, 진단 즉시 수술적 치료가 원칙입니다.

강아지 자궁축농증 수술

라온동물메디컬센터에서는 자궁축농증의 원인이 되는 난소와 염증이 가득 찬 자궁 전체를 제거하는 수술을 계획했습니다. ㅋㅈ는 수술 전 충분한 수액 처치와 전신 상태 안정화를 시행한 후 전신 마취 하에 자궁 및 난소 적출술(Ovariohysterectomy) 을 진행하였습니다.

환자 수술사진 / 출처: 라온동물메디컬센터

환자 수술사진 / 출처: 라온동물메디컬센터

염증이 심한 자궁은 매우 취약하기 때문에 수술 중 파열 위험을 최소화하며, 주변 조직 손상을 줄이는 방향으로 신중하게 수술을완료하였습니다.

제거된 자궁 사진/ 출처: 라온동물메디컬센터

수술 후 회복 경과

환자는 수술 후 2일의 입원 치료 기간 동안 항생제 주사 처치를 통해 감염을 조절하고, 염증 수치를 지속적으로 확인하며 통증 관리까지 병행하는 집중 치료를 진행하였습니다. 염증 수치가 안정적으로 감소하는 것을 확인하였고, 컨디션 회복이 양호하여 내복약 처방 후 퇴원하였습니다.

치료 결과 및 예후

수술 후 1주일 뒤 재내원하여 혈액 검사를 진행한 결과, 염증 수치는 정상 범위로 회복된 것을 확인하였습니다.

환자 염증수치(CRP) 변화 / 출처: 라온동물메디컬센터

​현재는 치료를 종결하고 일상생활로 복귀하였습니다.

자궁축농증은 중성화하지 않은 노령 암컷 강아지에서 매우 흔하게 발생하지만, 초기에는 단순 식욕 부진이나 기력 저하로 오인되기 쉬운 질환입니다.

✔ 평소와 다른 식욕 변화

✔ 기운이 없어 보이는 모습

✔ 외음부 분비물과 같은 작은 변화도 자궁축농증의 신호일 수 있습니다.

조기에 발견해 빠르게 치료할수록 아이의 생존율과 회복 속도는 크게 달라집니다.

보호자가 놓치지 말아야 할 자궁축농증 의심 증상

중성화를 하지 않은 여아라면 생리 후 1~2개월간은 다음 증상을 유심히 살펴야 합니다.

✔️ 다음/다뇨: 평소보다 물을 마시는 양이 급격히 늘고 소변 횟수가 증가함
✔️ 식욕 부진 및 기력 저하: 사료를 잘 먹지 않고 움직임이 눈에 띄게 줄어듦
✔️ 복부 팽만: 배가 빵빵하게 부어오른 듯한 느낌
✔️ 생식기 분비물: 생리가 끝났음에도 붉거나 노란 분비물이 보임
✔️구토 및 설사: 전신 염증 반응으로 인한 소화기 증상

가장 확실한 예방법은 ‘중성화 수술’입니다

#강아지자궁축농증수술 은 시기만 적절하다면 완치율이 높지만 시기를 놓치면 그 어떤 수술보다 위험도가 높고 예후가 좋지 않습니다. 노령견일수록 마취 부담과 합병증 위험이 커지기 때문에 가장 좋은 대책은 질병이 발생하기 전인 어린 시기에 예방적 중성화 수술을 해주는 것입니다. 만약 중성화를 하지 않은 암컷 강아지가 생리 후 컨디션 난조를 보인다면 지체하지 마시고 즉시 동물병원에 내원하여 초음파 검사를 받아보시길 권장합니다. 보호자님의 빠른 판단이 아이의 생명을 구할 수 있습니다.

📍 울산 수술 전문 동물병원, 라온동물메디컬센터

울산 동물병원 라온동물메디컬센터는 반려동물들의 건강을 책임지기 위해 최선을 다하고 있습니다.

  📞 대표번호: 052-286-5050
  📍 위치: 울산 중구 번영로 524 (주차 가능)
  🕐 진료시간: 밤 11시까지 진료 가능
  👉 수술 상담 및 예약은 전화로 문의해주세요.

글쓴이