안녕하세요. 울산 중구 동물병원 라온동물메디컬센터입니다.

​강아지 치주염은 노령기에 접어든 아이들에게 매우 흔하게 발생하는 질환입니다. 하지만 여전히 많은 보호자님들께서 이렇게 말씀하십니다.

“입냄새만 좀 나지, 밥도 잘 먹고 괜찮아 보여요.”

​사실 입냄새는 치주염의 시작 신호라기보다, 이미 잇몸 아래에서 염증과 세균 증식이 진행되고 있다는 결과 신호에 가깝습니다. 이번 글에서는 입냄새 외에 보호자님이 반드시 주목해야 할 강아지 치주염의 숨은 초기 신호들과 스케일링 치료가 왜 중요한지에 대해 설명드리겠습니다.

강아지 치주염, 왜 초기에 알아차리기 어려울까요?

강아지에게 가장 흔한 구강 질환은 치주염입니다. 치아 표면에 형성된 치태(플라그)가 제거되지 않고 쌓이면서 점차 단단한 치석으로 변하고, 이 치석 아래에서 잇몸 염증과 세균 감염이 서서히 진행됩니다.

문제는 초기 치주염은 통증과 증상이 거의 드러나지 않는다는 점입니다. 강아지는 불편함을 숨기는 데 익숙한 동물이기 때문에 어느 정도의 염증과 통증은 참고 생활하는 경우가 많습니다. 그래서 보호자가 입냄새를 느끼거나 치아 흔들림을 발견했을 때는 이미 치주인대와 치조골 손상이 진행된 상태인 경우가 적지 않습니다.

놓치기 쉬운 강아지 치주염 초기 신호들

1. 딱딱한 사료를 남기거나 씹는 속도가 느려짐

​사료를 먹긴 하지만 예전보다 씹는 속도가 느려지거나 딱딱한 알갱이를 남긴다면 잇몸 통증을 피하려는 행동일 수 있습니다.

2. 한쪽으로만 씹는 습관

항상 같은 방향으로만 씹거나 고개를 살짝 기울여 식사하는 모습이 반복된다면 특정 부위 잇몸 통증을 의심해야 합니다.

3. 장난감이나 껌을 예전처럼 씹지 않음

치주염이 진행되면 씹는 동작 자체가 불편해져 자연스럽게 씹는 놀이를 회피하게 됩니다.

4. 잇몸이 붉거나 쉽게 출혈이 남

건강한 잇몸은 연한 분홍색입니다. 잇몸이 붉게 부어 있거나 살짝만 건드려도 피가 난다면 이미 염증 반응이 시작된 상태입니다.

5. 입 주변을 만지면 예민하게 반응함

얼굴이나 입 주변을 만질 때 고개를 돌리거나 싫어하는 반응을 보인다면 구강 내 통증 신호일 수 있습니다.

6. 체중은 유지되지만 얼굴·턱 근육이 줄어든 느낌

치주염이 오래 지속되면 저작 기능이 감소하면서 턱 근육이 서서히 위축될 수 있습니다.

강아지 스케일링, 왜 중요한 치료일까요?

스케일링은 잇몸 아래(치은연하)에 숨어 있는 치석과 세균을 제거하는 치료입니다. 겉으로 보이는 치석만 제거해서는 이미 진행된 치주염을 멈출 수 없습니다. 치주염 관리의 핵심은 보이지 않는 잇몸 아래 환경을 개선하는 것입니다.

​강아지는 치료 중 가만히 입을 벌리고 있을 수 없기 때문에 정확하고 안전한 스케일링을 위해 전신마취 하 시술이 표준적으로 시행됩니다.

노령견 스케일링 전, 통합 사전 검진이 필요한 이유

노령견의 경우 스케일링은 단순한 치과 처치가 아니라 전신 상태를 함께 고려해야 하는 의료 시술입니다.

▪️ 혈액 검사

간·신장 수치, 전해질, 염증 수치 등을 종합적으로 확인하여 전신 컨디션과 마취 적합성을 평가합니다.

▪️ 흉부 X-ray 검사

심장 크기와 폐 상태, 만성 호흡기 변화 여부를 확인해 마취 중 호흡·순환 안정성을 판단합니다.

▪️ 필요 시 심장 검사 병행

심잡음이나 노령성 심장 질환이 의심될 경우 심장 초음파 등을 통해 마취 프로토콜을 보다 세밀하게 조정합니다.

​이는 마취가 위험해서가 아니라, 아이에게 가장 안전한 방법을 선택하기 위한 과정입니다.

강아지 스케일링 치료 케이스

환자는 13살의 노령견으로, 최근 입냄새가 심해지고 딱딱한 사료를 씹기 어려워 보인다는 이유로 내원하였습니다.

강아지 치주염 진단

구강 검진 결과 잇몸 염증과 함께 중등도 이상의 치주염 소견이 확인되었으며, 치은연하 치석이 다량 존재해 홈케어만으로는 관리가 어려운 상태로 판단되었습니다.

시술 전 구강 상태 사진 / 출처: 라온동물메디컬센터

보호자님과 충분한 상담 후 환자는 스케일링 치료를 진행하기로 결정하였습니다.

마취 전 검사

마취 전 검사에서 전신 상태는 비교적 안정적이었습니다.

환자 혈액검사 결과 사진 / 출처: 라온동물메디컬센터

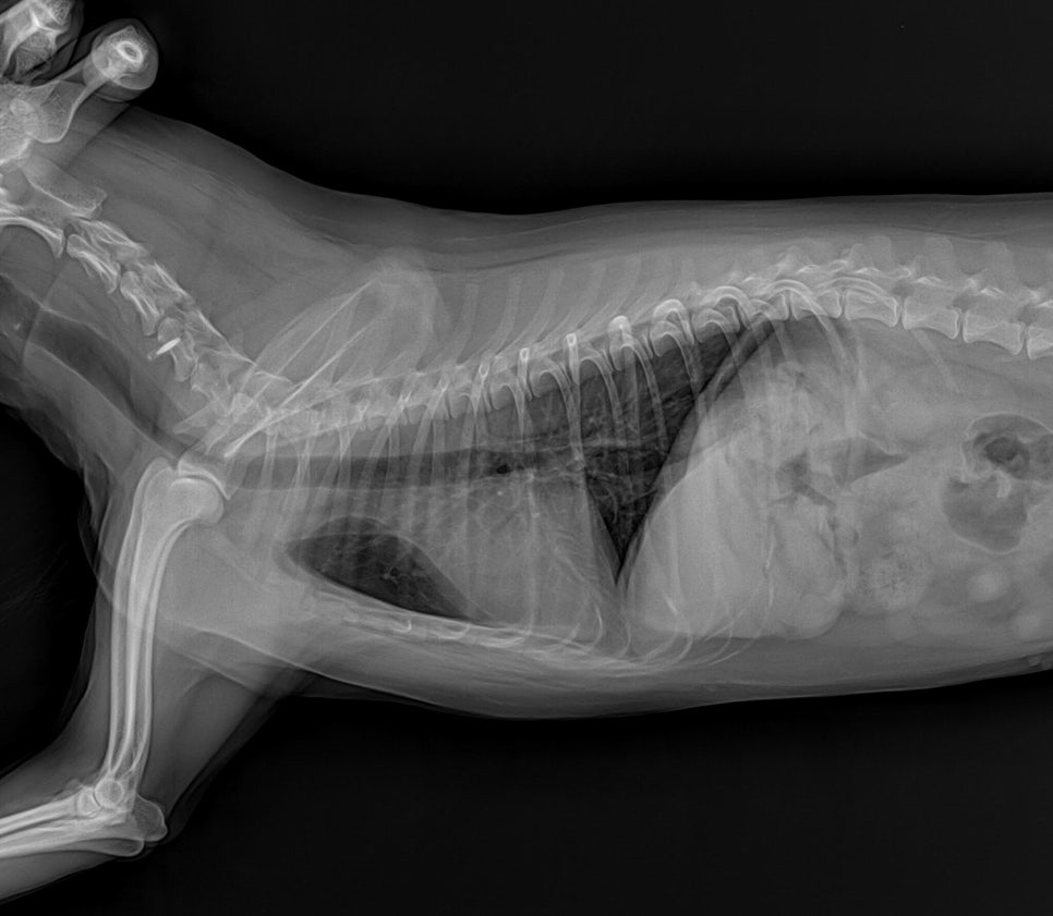
환자 흉부 방사선 사진/ 출처: 라온동물메디컬센터

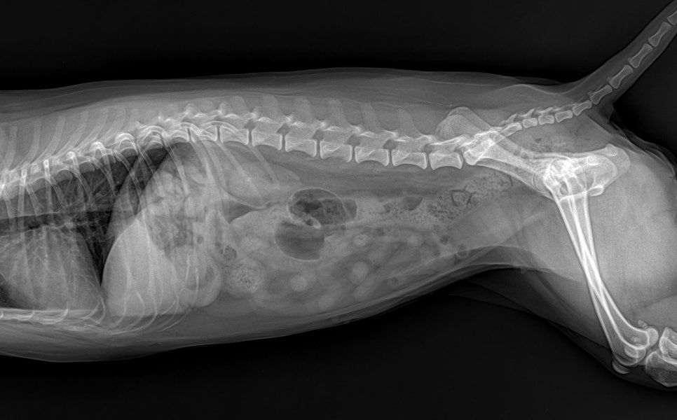
환자 복부 방사선 사진/ 출처: 라온동물메디컬센터

시술 과정에서 발치가 필요할 정도의 치아 손상은 관찰되지 않았으며, 스케일링과 이후의 지속적인 구강 관리로 충분히 관리 가능한 단계였습니다. 환자는 전신마취 하에 안전하게 스케일링을 마쳤고, 회복 과정에서도 안정적인 상태를 유지하였습니다.

환자 스케일링 완료 사진 / 출처: 라온동물메디컬센터

스케일링 후 관리 계획

환자는 마취 회복 후안정적인 상태로 퇴원하였으며 보호자님께 치주염 재발 방지를 위해 다음과 같은 관리 계획을 안내드렸습니다.

​매일 양치질을 생활화하는 것, 치주염 관리 보조제로는 덴탈백스(Dentalvax) 를 병행하여 잇몸 염증 관리에 도움을 주도록 하였습니다. 또한 구강 상태 변화를 조기에 확인하기 위해 정기적인 구강 검진을 통해 지속적인 상태 점검을 권장드렸습니다.

치주염은 완치되는 질환이 아니라, 조기에 관리할수록 발치 가능성을 크게 낮출 수 있는 질환입니다. 입냄새가 심해진 후에는 이미 잇몸과 치조골 손상이 상당 부분 진행되었을 가능성이 높습니다. 만약 우리 아이가 7세 이상의 노령견이거나, 위에 언급한 신호 중 2가지 이상에 해당한다면 입냄새 여부와 관계없이 구강 검진과 스케일링 상담을 권장드립니다.

📍 울산 노령견 전문 동물병원, 라온동물메디컬센터

울산 동물병원 라온동물메디컬센터는 반려동물들의 건강을 책임지기 위해 최선을 다하고 있습니다.

📞 대표번호: 052-286-5050
📍 위치: 울산 중구 번영로 524 (주차 가능)
🕐 진료시간: 밤 11시까지 진료 가능
👉 수술 상담 및 예약은 전화로 문의해주세요.

글쓴이