안녕하세요. 울산 중구 동물병원 라온동물메디컬센터입니다.
평소 조용하게 숨을 쉬는 우리 고양이가 어느 날 갑자기 강아지처럼 입을 벌리고 ‘헥헥’거리는 모습을 보신다면 보호자님께서는 심장이 덜컥 내려앉는 기분이 드실 거예요. ‘날이 더워서 그런가?’, ‘우다다를 심하게 해서 힘들어서일까?’라고 생각하며 지켜보시는 경우가 많지만 고양이의 구강 호흡은 강아지와 달리 매우 위험한 응급 신호일 가능성이 높습니다.
오늘은 고양이 호흡곤란을 유발하는 주요 질환들을 살펴보고 응급 상황에서 필요한 올바른 대응법과 전문적인 진단 과정에 대해 자세히 알려드리겠습니다.

고양이 호흡곤란이란?
고양이는 원래 입을 벌리고 숨 쉬지 않는 동물입니다. 개와 달리 더위를 해소하거나 흥분했을 때도 입 호흡을 하지 않는 것이 정상이에요. 그렇기 때문에 고양이가 입을 벌리고 숨을 쉬는 모습을 보호자가 발견했다면 이는 매우 비정상적인 상황으로 받아들여야 합니다.
호흡곤란(Dyspnea)이란 호흡이 어렵거나 불편한 상태를 의미합니다. 폐, 심장, 흉강 등 다양한 원인으로 발생할 수 있으며 적절한 처치가 이루어지지 않으면 빠른 시간 안에 생명을 위협할 수 있습니다.
고양이 정상 호흡과 이상 호흡 구분하기
고양이의 정상 호흡 횟수는 분당 20~30회입니다. 안정 시 배와 가슴이 부드럽게 오르내리며 코로만 조용히 숨을 쉬는 것이 정상입니다.
정상 호흡
- 분당 20~30회
- 코로만 조용히 호흡
- 가슴·배가 부드럽게 오르내림
이상 호흡
- 입 벌리고 호흡 / 헉헉거림
- 분당 40회 이상
- 목을 길게 빼고 앞발 뻗는 자세
🚨특히 앞발을 앞으로 뻗고 목을 길게 늘어뜨린 채 숨을 쉬는 자세(orthopneic posture)를 보인다면 이는 극도의 호흡 부전 상태입니다. 즉각적인 병원 방문이 필요합니다.

고양이가 호흡곤란을 보일 때 나타나는 주요 증상
호흡곤란은 단독으로 나타나지 않고 여러 증상과 함께 동반되는 경우가 많습니다. 다음 증상이 함께 보인다면 응급 상황으로 간주하세요.
• 입을 벌리고 숨 쉬거나, 헉헉거림
• 코와 입 주변, 잇몸이 파랗게 변함 (청색증, cyanosis)
• 숨 쉴 때 배와 목이 함께 심하게 움직임
• 움직이지 않으려 하거나 웅크리고 앉아 있음
• 기력이 급격히 저하되거나 반응이 없음
• 식욕 저하 및 음수량 감소
• 숨 쉬는 소리가 거칠거나 비정상적인 소음 발생
🚨잇몸 색은 산소 공급 상태를 바로 확인할 수 있는 지표입니다. 평소 분홍빛이던 잇몸이 하얗거나 파랗게 변했다면 지금 당장 병원으로 이동하세요.

고양이 호흡곤란의 주요 원인 질환
고양이 호흡곤란을 일으키는 원인은 매우 다양합니다. 정확한 진단 없이는 원인을 특정할 수 없으므로 증상이 보이면 즉시 내원하여 검사를 받는 것이 중요합니다.
1. 비대성 심근병증(HCM)
고양이에게 가장 흔한 심장 질환으로, 심장 근육이 두꺼워지면서 혈액 순환 이상과 폐부종을 유발합니다.
2. 흉수(Pleural Effusion)
흉강 내 액체가 차면서 폐 확장을 방해해 호흡 곤란을 초래합니다.
3. 천식(Feline Asthma)
기관지 과민 반응으로 기도가 좁아지며 발작적인 호흡 곤란이 나타납니다.
4. 폐렴(Pneumonia)
세균, 바이러스, 흡인 등으로 인한 폐 실질 염증으로 호흡 기능을 저하시킵니다.
5. 흉강 내 종양
종격동 림프종 등 종양이 기도를 압박하거나 흉수를 유발합니다.
6. 기흉(Pneumothorax)
흉강 내에 공기가 유입되어 폐가 제대로 펴지지 못하는 상태입니다.
고양이 호흡곤란, 이런 경우 즉시 병원 방문해야 합니다
아래 증상 중 하나라도 해당된다면 지체 없이 동물병원 응급실로 이동하세요. ‘오늘 밤 지켜보자’는 생각이 소중한 가족을 잃게 만들 수 있습니다.
• 입을 벌리고 숨을 쉬거나 헉헉거리는 경우• 잇몸이나 혀가 파랗거나 하얀 경우 (청색증)
• 숨 쉬는 횟수가 분당 40회 이상인 경우
• 갑자기 눕거나 일어나지 못하는 경우
• 뒷다리가 마비되거나 차갑고 통증을 호소하는 경우 (혈전 의심)
• 의식이 흐리거나 기절 직전 상태인 경우

🚨 이동 시에는 절대 고양이를 꽉 잡거나 압박하지 마세요. 케이지 안에 조용히 넣고 최대한 빠르게 이동하는 것이 중요합니다.
고양이 호흡곤란 치료 후기
최근 울산 라온동물메디컬센터에 갑작스러운 호흡곤란과 급격한 기력 저하로 내원한 환자가 있었습니다. 보호자님께서는 평소 얌전하던 아이가 갑자기 구석에서 입을 벌리고 숨을 가쁘게 쉬는 것을 발견하고 바로 내원하셨습니다.
환자는 내원 당시 산소 포화도가 낮고 매우 불안정한 상태였기에 즉시 산소 처치를 진행하며 안정을 취한 뒤 정밀 검사를 시행했습니다.
📌 고양이 호흡곤란 진단



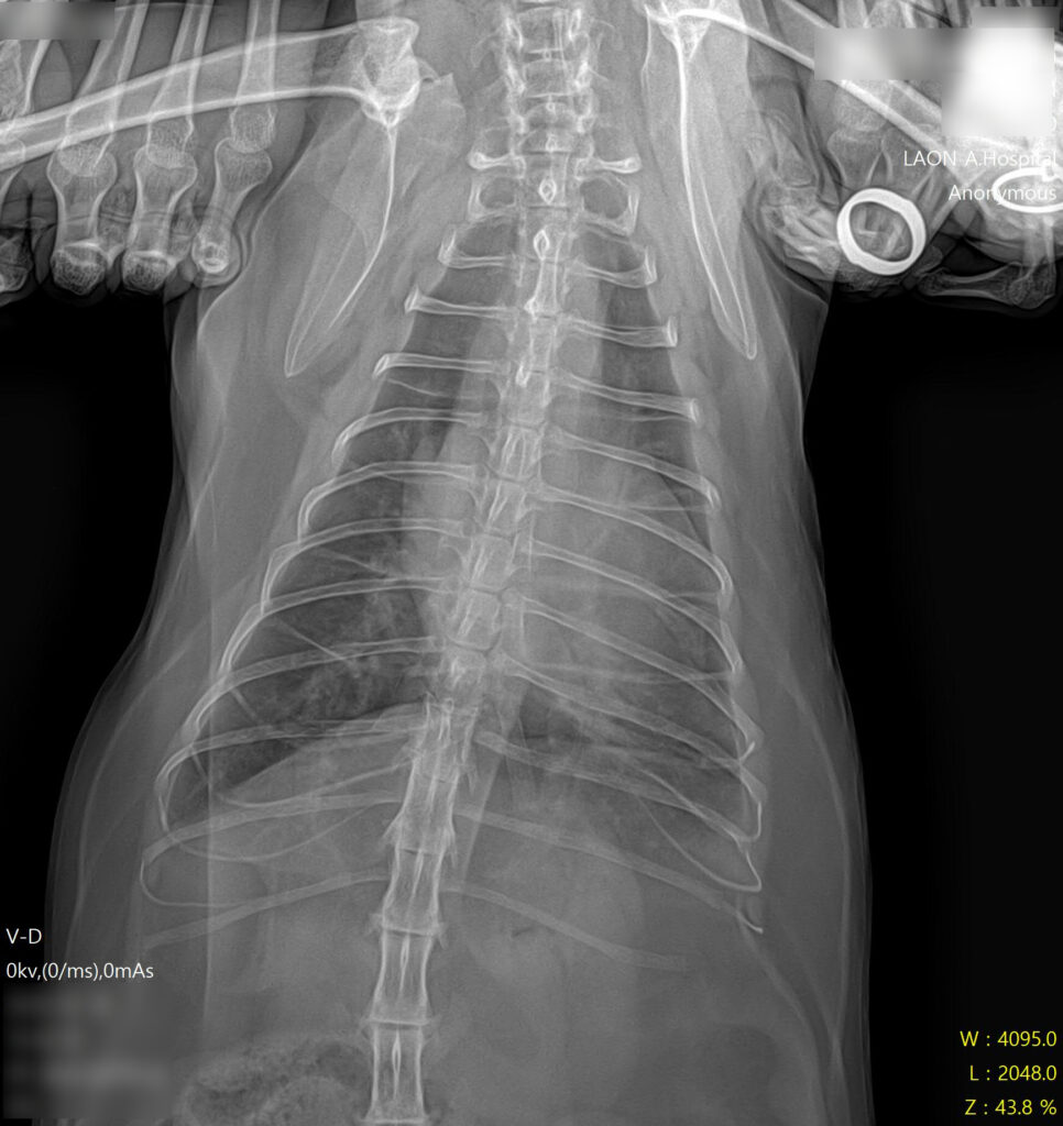
* 폐야가 하얗게 변한 폐수종 소견과 비대해진 심장 확인
- 방사선 검사: 흉부 방사선 촬영 결과, 폐 전반에 걸친 폐부종(pulmonary edema) 소견이 확인되었습니다. 또한 심장의 실루엣이 전형적인 ‘Valentine Shape(발렌타인 하트 모양)’으로 관찰되었는데, 이는 HCM(비대성 심근병증)에서 나타나는 특징적인 방사선 소견입니다.
- proBNP 검사: 키트 검사 결과 심장 과부하 수치가 크게 상승되어 있어 최종적으로 HCM(비대성 심근병증)에 의한 심부전으로 진단되었습니다.
📌 고양이 호흡곤란 치료
진단 결과에 따라 폐에 찬 물을 빼주기 위한 이뇨제 처치와 심장 수축력을 돕는 약물 요법을 즉각 실시했습니다. 입원 치료를 통해 24시간 모니터링을 진행하며
호흡수가 정상 범위로 돌아오는지 면밀히 살폈습니다. 다행히 치료 며칠 후 환자는 다시 코로 편안하게 숨을 쉴 수 있게 되었고 기력도 회복했습니다.


* 폐수종 개선 및 깨끗해진 폐야 확인
보호자님께는 HCM이 완치가 아닌 평생 관리가 필요한 질환임을 설명드렸습니다. 매일 정해진 시간에 약을 복용하는 것이 가장 중요하며 흥분이나 스트레스를 피하고 정기적인 검진(초음파, X-ray)을 통해 심장 상태를 추적하기로 했습니다.
💡 이번 케이스처럼 HCM은 평소 증상이 없다가 갑자기 심각한 호흡곤란으로 나타나는 경우가 많습니다. 조기 진단과 꾸준한 관리가 소중한 고양이의 생명을 지킵니다.
보호자가 할 수 있는 응급 대처 방법
아이가 숨을 못 쉴 때 당황해서 아이를 꽉 껴안거나 입을 억지로 벌리는 행동은 매우 위험합니다.
1. 이동장 환기
이동 시 통풍이 잘되게 하고, 가능한 부드럽게 운반하세요.
2. 자극 최소화
큰 소리를 내거나 억지로 먹이를 먹이지 마세요.
3. 온도 조절
너무 덥지 않은 쾌적한 온도를 유지하며 최대한 빨리 병원으로 이동하세요.

고양이는 아픔을 잘 숨기는 동물입니다. 호흡곤란처럼 명백한 증상이 겉으로 드러났을 때는 이미 상당히 진행된 상태일 가능성이 높습니다. ‘잠깐 지켜보자’는 생각 대신 ‘일단 병원에 가자’는 결단이 고양이의 생명을 살릴 수 있습니다.
우리 울산 라온동물메디컬센터는 고양이의 응급 상황에 신속하게 대응할 수 있는 시스템을 갖추고 있습니다. 고양이의 숨이 이상하다 싶으면 언제든지 연락 주세요. 고양이의 건강한 숨결, 저희가 함께 지키겠습니다.
📍 울산 중구 동물병원, 라온동물메디컬센터
울산 동물병원 라온동물메디컬센터는 반려동물들의 건강을 책임지기 위해 최선을 다하고 있습니다.
📞 대표번호: 052-286-5050
📍 위치: 울산 중구 번영로 524 (주차 가능)
🕐 진료시간: 밤 11시까지 진료 가능
👉 수술 상담 및 예약은 전화로 문의해주세요.